Indolent systemic mastocytosis (ISM) can be misdiagnosed as several other conditions due to its wide range of symptoms, many of which overlap with other more common disorders. The chronic nature of ISM, along with symptoms such as itching, flushing, gastrointestinal issues, and bone pain, can make it difficult to distinguish from other conditions, especially in its early stages. Because of this, many patients experience delays in diagnosis up to multiple years.1
Commonly misdiagnosed conditions include:
- Chronic Urticaria (Chronic Spontaneous Urticaria)2
-
- Overlapping symptoms: urticaria, pruritus, and flushing. In chronic spontaneous urticaria (CSU), urticaria appear in the absence of an obvious trigger with outbreaks lasting more than 6 weeks. This is similar to the flushing and pruritis seen in ISM secondary to mast cells release of histamine.
- Key differences: While CSU is a skin-only condition with episodic flare-ups, ISM involves systemic mast cell accumulation. This can result in symptoms throughout the body, including gastrointestinal dysfunction, bone pain, and fatigue, which are not typically seen in CSU.
- Irritable Bowel Syndrome (IBS)3
-
- Overlapping symptoms: Many patients with ISM experience gastrointestinal symptoms such as abdominal pain, nausea, diarrhea, and bloating, which are also common in IBS. The chronic nature of these symptoms in both conditions can lead to missed or delayed diagnosis.
- Key differences: While IBS is a functional gastrointestinal disorder, ISM involves the accumulation of mast cells in the gut, which can also lead to inflammation. Unlike IBS, ISM can cause GI bleeding in rare cases, and often has associated systemic features (e.g., bone pain, fatigue) that are absent in IBS. Differentiation of ISM from inflammatory bowel syndrome and celiac disease are also necessary.4
-
- Overlapping symptoms: Both ISM and ME/CFS present with chronic fatigue and musculoskeletal pain, which can make it difficult to distinguish between the two. Much like ISM, ME/CFS also often has a delayed diagnosis.
- Key differences: ME/CFS is primarily a chronic fatigue condition with no obvious underlying systemic cause, while ISM involves systemic mast cell accumulation and may present with additional symptoms including flushing, urticaria, bone pain, nausea, and diarrhea, which are found in ME/CFS.
-
- Overlapping symptoms: Conditions like fibromyalgia and rheumatoid arthritis involve chronic musculoskeletal pain, joint inflammation, skin rashes, and fatigue, which can overlap with some of the symptoms of ISM.
- Key differences: ISM is related to mast cell degranulation and often presents with gastrointestinal involvement, which is much rarer in rheumatic conditions like rheumatoid arthritis.
- Systemic Lupus Erythematosus (SLE)9
-
- Overlapping symptoms: Systemic autoimmune conditions like systemic lupus erythematosus can cause fatigue, skin rashes, and joint pain, which also occur ISM.
- Key differences: Autoimmune conditions are driven by immune system dysfunction, while ISM is a disorder of mast cell proliferation. Patients with ISM tend to have more gastrointestinal disturbances than those with SLE. Blood tests, such as antinuclear antibody (ANA) elevation seen in SLE, will not be elevated in ISM.10
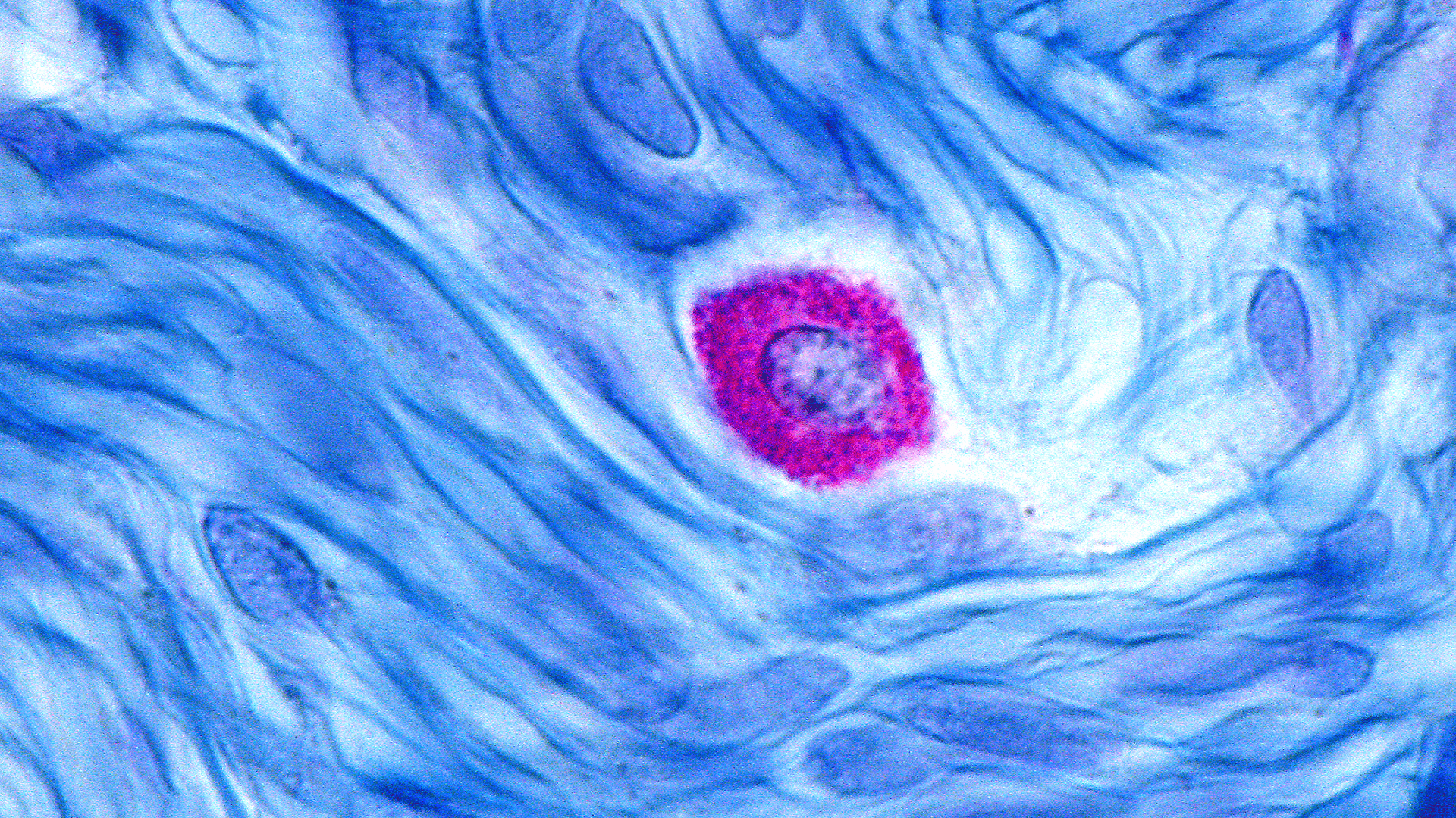
ISM is often misdiagnosed because its symptoms overlap with several more common conditions, especially those that involve mast cell activation such as chronic urticaria. Clinicians should always consider the possibility of systemic involvement, including the presence of skin lesions, bone pain, and gastrointestinal symptoms to rule out ISM when the diagnosis is uncertain, or symptoms persist despite attempts at management. While more invasive, a definitive diagnosis of ISM can be made with bone marrow biopsy.11
Take our ISM quiz to see how your knowledge compares to your peers.



